Veterinary Dental Care for Dogs, Cats, and Exotic Pets
APPOINTMENTDental disease is one of the most common medical conditions affecting pets. Studies estimate that more than 70% of cats and 80% of dogs develop signs of oral disease by the age of three.
Unfortunately, many dental problems occur below the gumline where they cannot be seen during a routine exam. At Arbor View Animal Hospital, we provide comprehensive veterinary dental care using advanced imaging and diagnostic tools to identify and treat dental disease early.
Our goal is not just to clean teeth — but to diagnose and treat the underlying causes of dental disease so pets remain comfortable and healthy.
Signs of Dental Disease
Common signs of dental disease include:
• Bad breath
• Dropping food while eating
• Difficulty chewing
• Excess drooling
• Swelling around the face or jaw
• Pawing at the mouth
• Red or bleeding gums
• Loose or broken teeth
• Decreased appetite
Because pets instinctively hide pain, dental disease can become advanced before obvious symptoms appear.
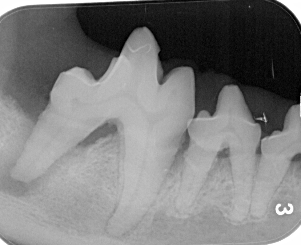
This dog has a slab fracture of the upper fourth premolar, one of the most common fractured teeth in dogs. These fractures often expose the pulp cavity, which can lead to infection and pain if not treated.
Dental Disease Often Occurs Below the Gumline
Many serious dental problems occur below the gumline where they cannot be seen during a routine visual exam. Teeth may appear normal above the gumline while significant infection or bone loss is present beneath the surface.
Left Photo: Dental probe, which has marks that measure pockets caused by dental disease below the gumline. It should not be able to go more than 2-3mm or lines below the gumline.
Right Photo: The same probe inserted into a deep periodontal pocket behind a canine tooth. The tooth appeared normal externally, demonstrating why probing and dental imaging are critical to diagnosing periodontal disease.
Advanced Diagnostics for Dental Disease
At Arbor View Animal Hospital we use advanced imaging tools to evaluate the health of teeth, roots, and surrounding bone structures.
Our hospital is one of the few veterinary clincs in Northwest Indiana offering CT imaging to evaluate complex dental disease.
Our diagnostic tools include:
• CT imaging
• Dental radiographs (X-rays)
• Comprehensive oral examination under anesthesia
Advanced imaging allows veterinarians to identify:
• tooth root infections
• bone loss around teeth
• jaw fractures
• impacted teeth
• oral tumors
These conditions are often impossible to diagnose without imaging.

Dentistry for Exotic Pets
Dental disease does not only affect dogs and cats.
Many exotic species are prone to dental problems that require specialized veterinary care.
Examples include:
Chinchillas, guinea pigs and rabbits
Drooling, difficulty chewing, or dropping food are often signs of severe dental disease involving the molars.
Bearded dragons
Advanced dental infections can weaken the jaw bones and lead to fractures if untreated.
Ferrets
Ferrets frequently develop tartar buildup and periodontal disease similar to dogs and cats.
Hedgehogs
Hedgehogs are known to develop oral tumors that may not be detected without careful oral examination.
Our veterinarians are experienced in diagnosing and treating dental disease in a wide variety of species.
Real Examples of Dental Disease We Treat
A professional dental cleaning removes tartar both above and below the gumline and allows veterinarians to evaluate the health of each tooth.
CT image from a guinea pig patient showing a severe infection affecting the front portion of the lower jaw. The infection damaged the bone supporting the lower incisors, which caused both teeth to fall out. Advanced imaging helps veterinarians evaluate how far the infection has spread within the jaw.
Frequently Asked Questions
Why can’t my pet have a dental cleaning without anesthesia?
Without anesthesia, important areas of the mouth — especially the surfaces of teeth near the tongue — cannot be evaluated.
Are anesthesia-free dental cleanings effective?
Additionally, scraping tartar from the surface of teeth without polishing can create microscopic scratches in the enamel. These micro-etchings allow plaque and tartar to accumulate more quickly.
Why does my pet need dental X-rays or CT imaging?
Advanced imaging ensures the true cause of dental disease is identified and treated.
How often should pets have dental examinations?
What is the smallest tooth you have ever extracted?
Caring medicine for all animals.

Location

Hours
Monday: 8:00am – 8:00pm
Tuesday: 8:00am – 8:00pm
Wednesday: 8:00am – 6:00pm
Thursday: 8:00am – 8:00pm
Friday: 8:00am – 6:00pm
Saturday: 8:00am – 1:00pm
Sunday: Closed

Contact Info
Get in touch!